ARBO 1100 X 350 - HOME FLUTUANTE
Aracaju (SE), 28 de março de 2026
Pub.: 14 de outubro de 2024

Mãe alerta sobre como vape contribuiu para morte de filho aos 20 anos após infecção: "pulmão não reagiu"

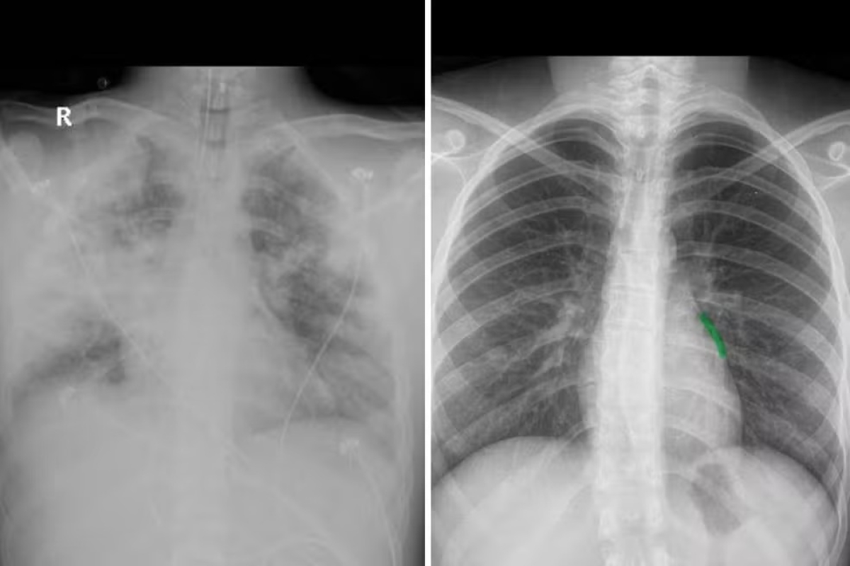
Do lado esquerdo, imagem do pulmão de Diego todo comprometido. Do lado direito, a imagem de um pulmão saudável - Foto: Divulgação

Do lado esquerdo, imagem do pulmão de Diego todo comprometido. Do lado direito, a imagem de um pulmão saudável - Foto: Divulgação

Mãe alerta sobre como vape contribuiu para morte de filho aos 20 anos após infecção: "pulmão não reagiu"


Enel não cumpre plano de contingência no temporal em SP e mobiliza menos funcionários do que o esperado, diz Aneel


Cor, cheiro e textura: você sabe o que analisar na hora de escolher a carne no mercado?


Notícias Indicadas

WhatsApp

Entre e receba as notícias do dia

Matérias em destaque

Click Sergipe - O mundo num só Click

Apresentação